Altoniense com desgaste ósseo degenerativo busca ajuda para cirurgia não custeada pelo SUS
Devido à complexidade do procedimento e à necessidade de urgência, o custo estimado para a cirurgia é de aproximadamente R$ 80 mil a R$ 100 mil
Uma moradora de Altônia está promovendo uma campanha de financiamento coletivo online com o objetivo de angariar R$ 100 mil para o tratamento de várias enfermidades. Isabel Portela Estelato, de 47 anos, sofre de desgaste ósseo degenerativo, condição que foi diagnosticada quando ela tinha apenas 20 anos.
Isabel compartilhou com OBemdito sua situação e relatou: “Meus joelhos estão desgastados, minha coluna… meus ossos sofrem com o desgaste desde muito jovem, e os médicos ainda não identificaram a causa. Pode ser genético, uma vez que na família do meu pai todos tiveram problemas no quadril, mas no meu caso, afeta todo o meu corpo”.
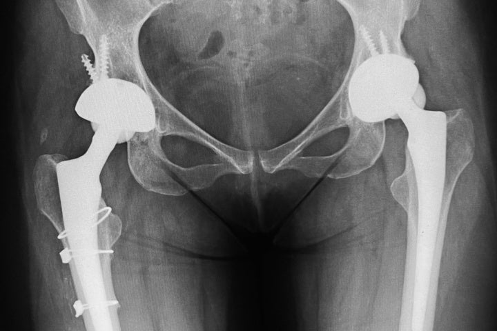
Em 2016, Isabel já se encontrava em uma cadeira de rodas devido ao comprometimento completo de seu quadril por osteoartrite. Ela passou por duas cirurgias, ambas para a implantação de próteses no quadril (bilaterais). A primeira cirurgia, realizada em janeiro, foi extremamente complicada, com um incidente durante a colocação da prótese que resultou em uma reabilitação de vários meses. Em outubro do mesmo ano, ela enfrentou o mesmo procedimento no lado esquerdo.
Recentemente, devido a um movimento errado a prótese do lado esquerdo quebrou. Isabel não possui plano de saúde e a prótese oferecida pelo Sistema Único de Saúde (SUS) é indicada apenas para idosos devido à sua durabilidade limitada. No setor privado, o pagamento deve ser feito à vista, sem opções de parcelamento.

Isabel explicou a sua busca por tratamento: “Eu moro em Altônia e, inicialmente, o município encaminhou meu caso para Umuarama, no hospital Uopeccan. No entanto, o médico informou que nada poderia ser feito. Com 47 anos, a prótese oferecida pelo SUS não é adequada para mim. A que quebrou era de cerâmica, e eu questionei o médico sobre a possibilidade de entrar com um recurso judicial, mas ele recusou, alegando que não queria se envolver. Perguntei se poderíamos de alguma forma conseguir a prótese por conta própria, mas o SUS não aceita doações ou tratamentos fora de suas instalações.”
“Ele também explicou que estava sobrecarregado com muitos casos e que eu entraria em uma fila de espera com um longo tempo de espera. Decidi então morar com minha tia em Umuarama para obter ajuda nos cuidados médicos, mas infelizmente, a situação não se alterou no Cemil”.

Ela procurou um cirurgião particular em Toledo para uma avaliação, e após examinar seus resultados ele reconheceu a complexidade do caso. Afirmou que seria necessário estudar a melhor abordagem e garantir a segurança da cirurgia. Demonstrou interesse em ajudar e até compartilhou os resultados com outro especialista para buscar uma solução viável.
O médico confirmou que a prótese de cerâmica era necessária e explicou que, devido à natureza da cirurgia, não era possível apenas substituir a peça quebrada; todo o dispositivo precisaria ser trocado.
Essa cirurgia é invasiva, pois se alguma parte estiver cimentada, é necessário abrir o osso para remover e substituir, tornando-a uma intervenção significativa. Até o momento, ainda não houve uma decisão sobre a realização da cirurgia.

Devido à complexidade do procedimento e à necessidade de urgência, o custo estimado para a cirurgia é de aproximadamente R$ 80 mil a R$ 100 mil, um montante que a família atualmente não tem disponível. O agravante da situação é que qualquer atraso no tratamento aumenta o risco de desenvolver trombose e outras complicações de saúde.
Quem quiser ajudar pode acessar a vaquinha online. Até a tarde desta terça-feira (19), 99 pessoas já haviam contribuído com um valor total de R$ 6.909,37.






